Cuando se lanzó la primera campaña de vacunación contra el COVID, los Centros para el Control y la Prevención de Enfermedades hicieron varias afirmaciones que se han ido desmintiendo con el tiempo.
Afirmaron que el ARNm permanecería solo alrededor del sitio de la inyección y que solo afectaría a las células alrededor de este punto. También afirmaron que tanto el ARNm como la proteína spike no permanecerían durante mucho tiempo en el cuerpo. Dijeron que el ARNm desaparecería en "unos cuantos días" y que la proteína spike que producen las células en respuesta a la vacuna se eliminaría "en cuestión de semanas".
Pues resulta que casi todas las células de su cuerpo se exponen al ARNm, que puede permanecer intacto durante un mes o más, y lo mismo ocurre con la proteína spike que producen sus células. Además, se encontraron rastros de proteína spike en el cerebro de personas con encefalitis (inflamación del cerebro) y lesiones de herpes zóster inducidas por la vacuna. Asimismo, puede bioacumularse en varios órganos, incluyendo en los órganos reproductores.
Pero no solo eso, también se han encontraron rastros de ARNm y proteína spike en los ganglios linfáticos hasta 60 días después de recibir la vacuna. Y se demostró que el ARNm permanece activo en la sangre hasta 28 días después de recibir la vacuna, al igual que se ha detectado en la leche materna.
A principios de agosto de 2022, los CDC quitaron estas afirmaciones de su sitio web, tal vez entendieron que ya no podían ocultar toda la información que demuestra que solo eran mentiras. Pero esta acción no pasó desapercibida. El portal Disclose TV los expuso en su cuenta de Twitter y adjuntó un enlace que muestra la página web de los CDC antes de que borraran esta información.
NEW - U.S. CDC appears to have deleted the statement that the "mRNA and the spike protein do not last long in the body" from their website. pic.twitter.com/HdH5ynAgOf
— Disclose.tv (@disclosetv) August 13, 2022
La relación entre la proteína spike y la miocarditis inducida por la vacuna
Desde un principio, muchos médicos y científicos advirtieron que la proteína spike del SARS-CoV-2 era la parte más tóxica del virus y que hacer que sus células la produzcan durante cierto periodo de tiempo podría provocar un desastre absoluto. Aunque en aquel momento "desacreditaron" y censuraron todas estas advertencias, ahora la creciente evidencia demuestra que tenían razón y que, si tan solo los hubieran escuchado, se habrían salvado muchas vidas.
Ahora hay informes de casos, estudios y hallazgos de autopsias que demuestran que las personas que sufren de miocarditis después de recibir la vacuna tienen proteínas spike que circulan por su sangre y corazón.
Además, un estudio que se publicó en enero de 2023 en la revista Circulation encontró "perfiles de anticuerpos y respuestas de células T" tanto en las personas que desarrollaron miocarditis después de recibir la vacuna como en los participantes que no desarrollaron síntomas después de recibir la vacuna.
La principal diferencia entre estos dos grupos fue que los pacientes que desarrollaron síntomas tenían "niveles muy elevados de proteína spike en su máxima expresión y sin control" en el plasma. En otras palabras, las personas asintomáticas no tenían la proteína spike circulando por su sangre. Esto sugeriría que cuando la proteína spike circula con libertad por todo el cuerpo puede causar daños graves. Los autores concluyeron lo siguiente:
"El perfil inmunológico de adolescentes y adultos jóvenes que recibieron la vacuna reveló que las respuestas inmunológicas inducidas por la vacuna de ARNm eran las mismas entre las personas que desarrollaron miocarditis y las que no.
Sin embargo, se detectó el antígeno spike circulando con libertad en la sangre de los adolescentes y adultos jóvenes que desarrollaron miocarditis después de recibir la vacuna de ARNm, lo que ayudó a comprender mejor su posible causa subyacente".
Las autopsias confirman que la miocarditis se relaciona con la vacuna
El hecho de que el ARNm programe las células del corazón para que produzcan la proteína spike es otra mala noticia. Un reporte que se publicó en septiembre de 2022 describe el caso de un hombre de 55 años que falleció por infarto agudo de miocardio y miocarditis linfocítica cuatro meses de recibir la vacuna de Pfizer. La primera dosis que recibió fue de la vacuna de AstraZeneca. Según el autor:
"Tras realizar un ensayo inmunohitoquímico, solo se detectó de forma esporádica la proteína spike del SARS-CoV-2 (pero no la proteína de la nucleocápside) en las paredes de los vasos, por lo que estos hallazgos indican que la miocarditis, así como los eventos tromboembólicos que se desarrollan después de recibir la vacuna de ARNm, tienen una relación causal con una respuesta inmunológica dañina al agente codificado.
Dado de que la respuesta inmunológica a una primera vacuna a base de genes es muy baja, en comparación con la respuesta inmunológica a la segunda vacuna, los efectos adversos se atribuyen a la segunda vacuna (ARNm) y no a la primera (vector)."
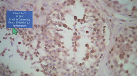
En julio de 2021, se publicó un reporte que se realizó en Corea y que describe el caso de un militar sano de 22 años que comenzó a experimentar dolor en el pecho cinco días después de recibir la primera dosis de la vacuna de Pfizer y que murió siete horas más tarde. Se determinó que la causa principal de muerte fue "miocarditis inducida por la vacuna BNT162b2", y estos fueron los principales hallazgos de la autopsia:
- Miocarditis, sobre todo en la pared auricular, en la que predominan los neutrófilos e histiocitos
- Necrosis unicelular no inflamatoria
- Necrosis difusa en bandas de contracción (CBN) en todo el miocardio, sobre todo en el ventrículo izquierdo. La CBN es un tipo de muerte celular que se sale de control y que puede producirse durante la reperfusión (reoxigenación). En otras palabras, el tejido se daña cuando regresa la sangre tras un período de isquemia o falta de oxígeno.
- Agrandamiento del corazón
También se determinó que la miocarditis tenía una "histología diferente a la miocarditis viral o inmunomediada, ya que los principales infiltrados inflamatorios fueron los neutrófilos e histiocitos, y no los linfocitos".
Los neutrófilos, un tipo de glóbulos blancos, son la primera línea de defensa de su sistema inmunológico. Mientras que los histiocitos son células inmunológicas que suelen encontrare en muchas áreas de su cuerpo, pero que también pueden causar daños si se mueven hacia tejidos a los que no pertenecen, como su corazón, que al parecer es lo que sucedió en este caso.
En noviembre de 2022, un artículo que habla sobre los hallazgos de la autopsia de cinco personas que "murieron de manera repentina" dentro de un periodo de siete días tras recibir la vacuna anticovid, concluyó que la causa de la mayoría de las muertes fue miocardiopatía arritmogénica aguda. Según los autores: "La miocarditis puede ser una reacción adversa potencialmente letal de la vacuna anti-SARS-Cov-2 de ARNm".
La vacuna anticovid también ha causado la muerte de personas jóvenes
Un reporte que describe las autopsias de dos adolescentes encontrados muertos en sus camas, tres y cuatro días después de recibir la segunda dosis de la vacuna anticovid de Pfizer, también concluyó que la causa de muerte fue daño cardíaco inducido por la vacuna.
El objetivo principal de estas autopsias era determinar si la miocarditis descrita en estos casos tenía la histopatología típica de este problema de salud, pero no fue así, sino que ambos casos se parecían más a una lesión inducida por catecolaminas. Como lo describen los autores:
"La lesión miocárdica que se observó en estos corazones y que se relacionó con la vacuna, es diferente a la que causa la miocarditis típica y tiene una apariencia muy similar a una miocardiopatía por estrés (tóxica) mediada por catecolaminas.
Las alteraciones que observamos a través del microscopio no se parecen a las de una miocarditis típica. Esto sugiere que pudo producirse una tormenta de citoquinas, que puede ocurrir debido a una respuesta inflamatoria excesiva, ya que también hay un bucle de retroalimentación entre las catecolaminas y las citoquinas".
Al igual que con el militar coreano, ambos jóvenes tenían evidencia de CBN que, como se explicó antes, es la muerte celular que suele ocurrir durante la reperfusión, cuando el flujo de sangre se detiene de forma temporal y luego se restablece. Pero el mayor daño se produce cuando la sangre vuelve a entrar en el tejido. Como se describe en este reporte:
"Ambos adolescentes tenían cuadros clínicos similares sin síntomas cardíacos evidentes, y su histopatología no coincide con una miocarditis típica. En esos casos, se ven infiltrados linfocíticos (o células gigantes) con necrosis en miocitos adyacentes; cambios como miocitos hipereosinofílicos, sin bandas de contracción.
Además, en estos dos casos hay áreas de bandas de contracción y miocitos hipereosinofílicos que no se relacionan con la inflamación.
En cambio, este patrón de lesión es similar a lo que se observa en el miocardio de pacientes a los que se les diagnostica miocardiopatía de Takotsubo, tóxica o por estrés, que es una lesión miocárdica temporal que puede desarrollarse por demasiado estrés físico, químico o, a veces, emocional.
La miocardiopatía por estrés es un proceso isquémico mediado por catecolaminas y que se observa en pacientes con niveles elevados de catecolaminas, sin enfermedad coronaria, ni espasmos. También se le denomina "lesión miocárdica neurogénica" y "síndrome del corazón roto".
Estos incrementos repentinos en los niveles de catecolaminas podrían tener varias causas (respuesta de lucha/huida, patología suprarrenal, etc.). Los mecanismos propuestos para el aturdimiento mediado por catecolaminas, que se experimenta en la miocardiopatía por estrés, incluyen al espasmo epicárdico, la disfunción microvascular, la contractilidad hiperdinámica con obstrucción del tracto de salida o del medio ventrículo, así como efectos directos de las catecolaminas en los cardiomiocitos.
El aturdimiento miocárdico mediado por catecolaminas podría deberse a una lesión directa de los miocitos, ya que los niveles elevados de catecolaminas reducen la viabilidad de los miocitos a través de la sobrecarga de calcio mediada por el monofosfato de adenosina cíclico.
Las catecolaminas también son una posible fuente de radicales libres derivados del oxígeno, que pueden interferir con los transportadores de sodio y calcio, lo que podría provocar una disfunción de los miocitos al incrementar el flujo de entrada de calcio transarcolémico y sobrecargar el calcio celular.
Sospechamos que los cambios cardíacos agudos que se observaron en estos dos jóvenes, son el resultado de los efectos mediados por la epinefrina en los cardiomiocitos. Esta reacción posterior a la vacunación podría deberse a una respuesta inmunológica excesiva que causa una lesión miocárdica mediada por mecanismos inmunológicos similares a los que se describen en el SARS-CoV -2 y a la tormenta de citoquitas del síndrome inflamatorio multisistémico.
Estos dos historiales clínicos respaldan la etiología de la lesión miocárdica aguda como factor primario, no secundario, ni por un artefacto posterior a la reanimación. La tormenta de citoquinas se describe con una respuesta inflamatoria excesiva y sin control, y existe un bucle de retroalimentación entre las catecolaminas y las citoquinas.
Las complicaciones clínicas pueden incluir insuficiencia cardíaca, dificultad respiratoria e hipercoagulación. La lesión miocárdica que se observa después de recibir la vacuna tiene una apariencia histológica similar a la miocardiopatía por estrés mediada por catecolaminas y la enfermedad grave por SARS-CoV-2, y algunos de sus síntomas incluyen miocarditis, que se relaciona con el síndrome de liberación de citoquinas.
Reconocer que estos casos son diferentes a la miocarditis típica y que la tormenta de citoquinas tiene un bucle de retroalimentación con las catecolaminas podría representar un gran avance en la detección, diagnóstico y terapia de este problema de salud".
La miocarditis ya es la principal causa de muerte entre las personas vacunadas
Es muy posible que al presionar a la población para ponerse la dichosa vacuna anticovid, las autoridades de salud causaron daños inimaginables en el corazón de las personas. Al menos eso es lo que sugiere toda la evidencia. Una encuesta reciente de Steve Kirsch sugiere que la miocarditis y la muerte súbita ahora son las dos principales causas de muerte en los Estados Unidos, pero solo entre las personas que recibieron la vacuna anticovid.
A principios de octubre de 2022, el Dr. Joseph Ladapo, secretario de salud de Florida, publicó una guía actualizada de las vacunas anticovid, en la que recomendó a los hombres de entre 18 y 39 años que se abstengan de recibir más dosis, ya que los datos demuestran que hubo un incremento del 84 % en las muertes a causa de un problema cardíaco dentro de los 28 días posteriores a la vacunación. Mientras que los hombres mayores de 60 años tienen un riesgo 10 % mayor de morir a causa de un problema cardíaco dentro de un periodo de 28 días.
De hecho, la campaña de vacunación ya tuvo un impacto negativo en la esperanza de vida al reducirla más de tres años, y creo que en el futuro esta cifra empeorará, solo es cuestión de que los problemas cardíacos a causa de la vacuna comiencen a cobrar más víctimas.
Como dijo Edward Dowd en su libro titulado "Cause Unknown: The Epidemic of Sudden Deaths in 2021 and 2022", las tasas de exceso de mortalidad comenzaron a dispararse en el grupo de 26 a 41 años poco después de que se lanzaron las vacunas anticovid. Solo entre febrero de 2021 y marzo de 2022, los casos de muerte entre la generación de millennials fue equivalente a los de la guerra de Vietnam, ya que hubo 60.000 muertes. La vacunación masiva es la única explicación lógica de este repentino incremento de las tasas de mortalidad entre este grupo de edad.
Cuando hay tasas de mortalidad tan altas entre la población joven, se produce un impacto negativo en la esperanza de vida en general, y si no se le pone un alto a este daño sistémico por las vacunas, podríamos enfrentarnos a un terrible problema de despoblación.
Como si esto no fuera suficiente, las muertes súbitas entre los deportistas de alto rendimiento también se han disparado en casi un 1700 %, y una vez más, las vacunas anticovid son la única explicación lógica. Entre 2021 y 2022, casi 1148 atletas profesionales y otros deportistas sufrieron un evento cardíaco letal, lo que representa una tasa de mortalidad promedio de 574 al año, mientras que el promedio anual histórico es de entre 28 y 29 muertes.
Repito, cuando hay tasas de mortalidad tan altas entre la población joven, se produce un impacto negativo en la esperanza de vida en general, y si no se le pone un alto a este daño sistémico a causa de las vacunas, podríamos enfrentarnos a un terrible problema de despoblación.
Joseph Mercola
(Visto en https://www.tomecontroldesusalud.com/)
La principal diferencia entre estos dos grupos fue que los pacientes que desarrollaron síntomas tenían "niveles muy elevados de proteína spike en su máxima expresión y sin control" en el plasma. En otras palabras, las personas asintomáticas no tenían la proteína spike circulando por su sangre. Esto sugeriría que cuando la proteína spike circula con libertad por todo el cuerpo puede causar daños graves. Los autores concluyeron lo siguiente:
"El perfil inmunológico de adolescentes y adultos jóvenes que recibieron la vacuna reveló que las respuestas inmunológicas inducidas por la vacuna de ARNm eran las mismas entre las personas que desarrollaron miocarditis y las que no.
Sin embargo, se detectó el antígeno spike circulando con libertad en la sangre de los adolescentes y adultos jóvenes que desarrollaron miocarditis después de recibir la vacuna de ARNm, lo que ayudó a comprender mejor su posible causa subyacente".
Las autopsias confirman que la miocarditis se relaciona con la vacuna
El hecho de que el ARNm programe las células del corazón para que produzcan la proteína spike es otra mala noticia. Un reporte que se publicó en septiembre de 2022 describe el caso de un hombre de 55 años que falleció por infarto agudo de miocardio y miocarditis linfocítica cuatro meses de recibir la vacuna de Pfizer. La primera dosis que recibió fue de la vacuna de AstraZeneca. Según el autor:
"Tras realizar un ensayo inmunohitoquímico, solo se detectó de forma esporádica la proteína spike del SARS-CoV-2 (pero no la proteína de la nucleocápside) en las paredes de los vasos, por lo que estos hallazgos indican que la miocarditis, así como los eventos tromboembólicos que se desarrollan después de recibir la vacuna de ARNm, tienen una relación causal con una respuesta inmunológica dañina al agente codificado.
Dado de que la respuesta inmunológica a una primera vacuna a base de genes es muy baja, en comparación con la respuesta inmunológica a la segunda vacuna, los efectos adversos se atribuyen a la segunda vacuna (ARNm) y no a la primera (vector)."
En julio de 2021, se publicó un reporte que se realizó en Corea y que describe el caso de un militar sano de 22 años que comenzó a experimentar dolor en el pecho cinco días después de recibir la primera dosis de la vacuna de Pfizer y que murió siete horas más tarde. Se determinó que la causa principal de muerte fue "miocarditis inducida por la vacuna BNT162b2", y estos fueron los principales hallazgos de la autopsia:
- Miocarditis, sobre todo en la pared auricular, en la que predominan los neutrófilos e histiocitos
- Necrosis unicelular no inflamatoria
- Necrosis difusa en bandas de contracción (CBN) en todo el miocardio, sobre todo en el ventrículo izquierdo. La CBN es un tipo de muerte celular que se sale de control y que puede producirse durante la reperfusión (reoxigenación). En otras palabras, el tejido se daña cuando regresa la sangre tras un período de isquemia o falta de oxígeno.
- Agrandamiento del corazón
También se determinó que la miocarditis tenía una "histología diferente a la miocarditis viral o inmunomediada, ya que los principales infiltrados inflamatorios fueron los neutrófilos e histiocitos, y no los linfocitos".
Los neutrófilos, un tipo de glóbulos blancos, son la primera línea de defensa de su sistema inmunológico. Mientras que los histiocitos son células inmunológicas que suelen encontrare en muchas áreas de su cuerpo, pero que también pueden causar daños si se mueven hacia tejidos a los que no pertenecen, como su corazón, que al parecer es lo que sucedió en este caso.
En noviembre de 2022, un artículo que habla sobre los hallazgos de la autopsia de cinco personas que "murieron de manera repentina" dentro de un periodo de siete días tras recibir la vacuna anticovid, concluyó que la causa de la mayoría de las muertes fue miocardiopatía arritmogénica aguda. Según los autores: "La miocarditis puede ser una reacción adversa potencialmente letal de la vacuna anti-SARS-Cov-2 de ARNm".
La vacuna anticovid también ha causado la muerte de personas jóvenes
Un reporte que describe las autopsias de dos adolescentes encontrados muertos en sus camas, tres y cuatro días después de recibir la segunda dosis de la vacuna anticovid de Pfizer, también concluyó que la causa de muerte fue daño cardíaco inducido por la vacuna.
El objetivo principal de estas autopsias era determinar si la miocarditis descrita en estos casos tenía la histopatología típica de este problema de salud, pero no fue así, sino que ambos casos se parecían más a una lesión inducida por catecolaminas. Como lo describen los autores:
"La lesión miocárdica que se observó en estos corazones y que se relacionó con la vacuna, es diferente a la que causa la miocarditis típica y tiene una apariencia muy similar a una miocardiopatía por estrés (tóxica) mediada por catecolaminas.
Las alteraciones que observamos a través del microscopio no se parecen a las de una miocarditis típica. Esto sugiere que pudo producirse una tormenta de citoquinas, que puede ocurrir debido a una respuesta inflamatoria excesiva, ya que también hay un bucle de retroalimentación entre las catecolaminas y las citoquinas".
Al igual que con el militar coreano, ambos jóvenes tenían evidencia de CBN que, como se explicó antes, es la muerte celular que suele ocurrir durante la reperfusión, cuando el flujo de sangre se detiene de forma temporal y luego se restablece. Pero el mayor daño se produce cuando la sangre vuelve a entrar en el tejido. Como se describe en este reporte:
"Ambos adolescentes tenían cuadros clínicos similares sin síntomas cardíacos evidentes, y su histopatología no coincide con una miocarditis típica. En esos casos, se ven infiltrados linfocíticos (o células gigantes) con necrosis en miocitos adyacentes; cambios como miocitos hipereosinofílicos, sin bandas de contracción.
Además, en estos dos casos hay áreas de bandas de contracción y miocitos hipereosinofílicos que no se relacionan con la inflamación.
En cambio, este patrón de lesión es similar a lo que se observa en el miocardio de pacientes a los que se les diagnostica miocardiopatía de Takotsubo, tóxica o por estrés, que es una lesión miocárdica temporal que puede desarrollarse por demasiado estrés físico, químico o, a veces, emocional.
La miocardiopatía por estrés es un proceso isquémico mediado por catecolaminas y que se observa en pacientes con niveles elevados de catecolaminas, sin enfermedad coronaria, ni espasmos. También se le denomina "lesión miocárdica neurogénica" y "síndrome del corazón roto".
Estos incrementos repentinos en los niveles de catecolaminas podrían tener varias causas (respuesta de lucha/huida, patología suprarrenal, etc.). Los mecanismos propuestos para el aturdimiento mediado por catecolaminas, que se experimenta en la miocardiopatía por estrés, incluyen al espasmo epicárdico, la disfunción microvascular, la contractilidad hiperdinámica con obstrucción del tracto de salida o del medio ventrículo, así como efectos directos de las catecolaminas en los cardiomiocitos.
El aturdimiento miocárdico mediado por catecolaminas podría deberse a una lesión directa de los miocitos, ya que los niveles elevados de catecolaminas reducen la viabilidad de los miocitos a través de la sobrecarga de calcio mediada por el monofosfato de adenosina cíclico.
Las catecolaminas también son una posible fuente de radicales libres derivados del oxígeno, que pueden interferir con los transportadores de sodio y calcio, lo que podría provocar una disfunción de los miocitos al incrementar el flujo de entrada de calcio transarcolémico y sobrecargar el calcio celular.
Sospechamos que los cambios cardíacos agudos que se observaron en estos dos jóvenes, son el resultado de los efectos mediados por la epinefrina en los cardiomiocitos. Esta reacción posterior a la vacunación podría deberse a una respuesta inmunológica excesiva que causa una lesión miocárdica mediada por mecanismos inmunológicos similares a los que se describen en el SARS-CoV -2 y a la tormenta de citoquitas del síndrome inflamatorio multisistémico.
Estos dos historiales clínicos respaldan la etiología de la lesión miocárdica aguda como factor primario, no secundario, ni por un artefacto posterior a la reanimación. La tormenta de citoquinas se describe con una respuesta inflamatoria excesiva y sin control, y existe un bucle de retroalimentación entre las catecolaminas y las citoquinas.
Las complicaciones clínicas pueden incluir insuficiencia cardíaca, dificultad respiratoria e hipercoagulación. La lesión miocárdica que se observa después de recibir la vacuna tiene una apariencia histológica similar a la miocardiopatía por estrés mediada por catecolaminas y la enfermedad grave por SARS-CoV-2, y algunos de sus síntomas incluyen miocarditis, que se relaciona con el síndrome de liberación de citoquinas.
Reconocer que estos casos son diferentes a la miocarditis típica y que la tormenta de citoquinas tiene un bucle de retroalimentación con las catecolaminas podría representar un gran avance en la detección, diagnóstico y terapia de este problema de salud".
La miocarditis ya es la principal causa de muerte entre las personas vacunadas
Es muy posible que al presionar a la población para ponerse la dichosa vacuna anticovid, las autoridades de salud causaron daños inimaginables en el corazón de las personas. Al menos eso es lo que sugiere toda la evidencia. Una encuesta reciente de Steve Kirsch sugiere que la miocarditis y la muerte súbita ahora son las dos principales causas de muerte en los Estados Unidos, pero solo entre las personas que recibieron la vacuna anticovid.
A principios de octubre de 2022, el Dr. Joseph Ladapo, secretario de salud de Florida, publicó una guía actualizada de las vacunas anticovid, en la que recomendó a los hombres de entre 18 y 39 años que se abstengan de recibir más dosis, ya que los datos demuestran que hubo un incremento del 84 % en las muertes a causa de un problema cardíaco dentro de los 28 días posteriores a la vacunación. Mientras que los hombres mayores de 60 años tienen un riesgo 10 % mayor de morir a causa de un problema cardíaco dentro de un periodo de 28 días.
De hecho, la campaña de vacunación ya tuvo un impacto negativo en la esperanza de vida al reducirla más de tres años, y creo que en el futuro esta cifra empeorará, solo es cuestión de que los problemas cardíacos a causa de la vacuna comiencen a cobrar más víctimas.
Como dijo Edward Dowd en su libro titulado "Cause Unknown: The Epidemic of Sudden Deaths in 2021 and 2022", las tasas de exceso de mortalidad comenzaron a dispararse en el grupo de 26 a 41 años poco después de que se lanzaron las vacunas anticovid. Solo entre febrero de 2021 y marzo de 2022, los casos de muerte entre la generación de millennials fue equivalente a los de la guerra de Vietnam, ya que hubo 60.000 muertes. La vacunación masiva es la única explicación lógica de este repentino incremento de las tasas de mortalidad entre este grupo de edad.
Cuando hay tasas de mortalidad tan altas entre la población joven, se produce un impacto negativo en la esperanza de vida en general, y si no se le pone un alto a este daño sistémico por las vacunas, podríamos enfrentarnos a un terrible problema de despoblación.
Como si esto no fuera suficiente, las muertes súbitas entre los deportistas de alto rendimiento también se han disparado en casi un 1700 %, y una vez más, las vacunas anticovid son la única explicación lógica. Entre 2021 y 2022, casi 1148 atletas profesionales y otros deportistas sufrieron un evento cardíaco letal, lo que representa una tasa de mortalidad promedio de 574 al año, mientras que el promedio anual histórico es de entre 28 y 29 muertes.
Repito, cuando hay tasas de mortalidad tan altas entre la población joven, se produce un impacto negativo en la esperanza de vida en general, y si no se le pone un alto a este daño sistémico a causa de las vacunas, podríamos enfrentarnos a un terrible problema de despoblación.
Joseph Mercola
(Visto en https://www.tomecontroldesusalud.com/)
_a.jpg)
_a.jpg)
-.jpg)
_a.jpg)

-.jpg)
-.jpg)
-.jpg)

-.jpg)
No hay comentarios:
Publicar un comentario